Özgür Özel: Birinci partiysek Erdoğan’ı aramak bana düşer
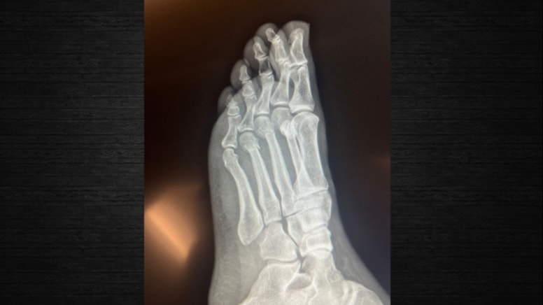
Ayağı kırılan CHP lideri Özel'in alkollüyken düştüğü ya da vurulduğu iddia edildi. Özel de bu iddiaların ardından ayağının kırık olduğunu gösteren röntgeni paylaştı.
Özgür Özel. CHP lideri Özgür Özel’in ayağı kırıldı ama bu olay polemiğe neden oldu. Çünkü birçok hesap aslında ayağından vurulduğunu ya da alkollüyken düştüğünü söyledi. Birçok iddianın ardından röntgeni paylaşabileceğini söyleyen Özel söylentiler durulmayınca ayağının kırık olduğunu gösteren röntgeni açıkladı.

Özgür Özel’in paylaştığı röntgen.
Sözcü’den Saygı Öztürk’e konuşan Özel “Herkesin başına gelebilecek, geçirdiğim bir ev kazası üzerinden, hepimizin kimler olduğunu iyi bildiği bir grubun sosyal medyadan akıl ve ahlak dışı bir kampanya başlattığını ve farklı pek çok kişinin bu gündemin peşine takıldığını gerçekten şaşkınlıkla takip ettim. Tarihsel husumetimiz olan FETÖ’cü hesapların yaydığı bir yalan daha sonra üzerine eklenerek, boyutlandırılarak kasıtlı olarak devam ettirildi. Parti sözcümüz açıklama yaptı, ben bizzat açıklama yaptım, ancak iddialar sürdürüldü. Çünkü bunu yapanların gerçekle dertleri yok, tek amaçları bize ve partimize zarar vermek. Bunu herkes biliyor ve görüyor. Bu gündemlere teslim olacak değiliz. Bu konuda açıklama yapmayı bile aslında zül sayıyorum. Biz işimize bakıyoruz. Bizim gündemimizde memleketin sorunları ve bu sorunlara üreteceğimiz çözümler var. Herkese açık, şeffaf bir şekilde çalışmalarımıza devam ediyoruz” dedi.
Filistin Devlet Başkanı Mahmud Abbas Türkiye’ye gelip TBMM’de konuştuğunda Özel yoktu. Daha sonra CHP Grup Başkanvekili Ali Mahir Başarır, Özel’in ayağının kırıldığını açıkladı. Başarır “Sayın Genel Başkanımız Özgür Özel bugün burada olmayı çok istiyordu, ama ayağında basit bir kırık oluştu. Yarından sonra büyük ihtimalle doktor gözetiminde ortopedik bir yardımla yürüyebilecek. Burada olmayı çok istiyordu. Çünkü o da Filistin’in haklı mücadelesine sonuna kadar destek verdi. Buradan da bir kez daha iletiyoruz: Filistin halkının, Filistin devletinin bağımsızlığını ve işgalci İsrail’in bu tutumunu kınıyoruz. Bunları aslında kendisi söyleyecekti ama böyle bir kaza oldu. Kendisine geçmiş olsun dileklerimizi sunuyoruz. Sabah konuyu söyleyecektik ama toplantı önemli olduğu için toplantıdan sonra açıklamayı doğru buldum” demişti.